Skip to content
English
Türkçe
日本語
Deutsch
Español
한국어
Menu
Home
Products
Products
Protein
Protein
Cytokines
Colony Stimulating Factors (CSFs)
TGF-β Superfamily
Interferons (IFNs)
Interleukins (ILs)
Vascular Endothelial Growth Factors (VEGFs)
Fibroblast Growth Factors (FGFs)
TNF Superfamily
Insulin-like Growth Factors (IGFs)
Neurotrophic Factors
Chemokines
TNFR Superfamily
Growth Factor Binding Protein (GFBP)
Interleukin Receptors (ILRs)
Epidermal Growth Factors (EGFs)
Other Cytokines
Target Proteins
Virus Proteins
Chikungunya virus
Nipah virus Proteins
Antibody
Antibody
Primary Antibody
Recombinant Monoclonal Antibody
Mouse Monoclonal Antibody
Rat Monoclonal Antibody
Polyclonal Antibody
Loading Control Antibody
Fish-specific Antibody
Tag-specific Antibody
Secondary Antibody
Unconjugated
HRP Conjugated
Biotin Conjugated
Fluorescent Conjugated
Virus Antibody
Chikungunya virus Antibodies
Nipah virus Antibodies
Kits
Kits
ELISA Kits
Human ELISA Kits
Mouse ELISA Kits
Rat ELISA Kits
Monkey ELISA Kits
Porcine ELISA Kits
Universal ELISA Kits
Canine ELISA Kits
Rabbit ELISA Kits
Bovine ELISA Kits
Guinea pig ELISA Kit
ELISA Reagents
Labeling Kits
HRP Labeling
Biotin Labeling
Fluorescent Labeling
Western Blot Kits
2-hour WB
4-hour WB
ECL Kits
IHC Detection Reagents
IHC Kits
IHC Ancillary Reagents
TSA mIHC Kits
7-Color mIHC
6-Color mIHC
5-Color mIHC
4-Color mIHC
3-Color mIHC
Metabolism Kits
Protein Marker
Food Safety Test Kits
Pathology Staining Kits
H&E Staining Kit
Masson Trichrome Staining Kit
Modified Oil Red O Staining Kit
PAS Staining Kit
Von Kossa Calcium Staining Kit
Magnetic Bead Separation Products
Lymphocyte Separation Mediums
Cell Separation Kits
T Cell Activation Kits
Protein Purification & IP Kits
Cell Biology
Cell Biology
Fluorescent Dye
Cell skeleton fluorescent dyes
Subcellular structure fluorescent dyes
Cell membrane fluorescent dyes
Nuclear fluorescent dyes
Cell Media
Differentiation Medium Kits
Chondrogenic differentiation
Osteogenic differentiation
Adipogenic differentiation
Exosome-Depleted Media
Transfection Reagents
siRNA Transfection
DNA Transfection
Ancillary reagents
Cell/Tissue Lysis
One-step cryopreservation
Cell Function Assay Kits
Cell Apoptosis Kits
Cell Proliferation Kits
Cell Viability and Cytotoxicity
Cellular Senescence Kits
Research Areas
Neuroscience
Neuroscience
Neurodegenerative Diseases
Alzheimer's Disease
Parkinson's Disease
Neural Signal Transmission
Neuroendocrine Cells
Neural Development & Neuronal Markers
Glioma & Brain Tumour Micro-environment
Oncology
Oncology
Tumour Immune Micro-environment
Tumour Markers
Gastric cancer
Liver cancer
Gliomas
Esophageal Cancer
Colorectal cancer (CRC)
Breast Cancer
Prostate Cancer
Immunology & Inflammation
Immunology & Inflammation
T-cell Subsets
B Cells & Plasma Cells
NK Cells & Cytotoxicity
Dendritic Cells & Antigen Presentation
Macrophage Polarization (M1/M2)
Immune Checkpoints & Exhaustion
Cardiovascular Biology
Cardiovascular Biology
Myocardial Hypertrophy & Heart Failure
Myocardial Fibrosis
Angiogenesis & Arteriogenesis
Atherosclerosis
Hypertension & Vascular Remodeling
Thrombosis & Coagulation
Arrhythmia & Ion Channels
Cardiac Development & Congenital Heart Disease
Stem Cells & Regeneration
Stem Cells & Regeneration
Differentiation
Chondrogenic differentiation
Osteogenic differentiation
Adipogenic differentiation
Stem Cell Markers
Stem Cells
Organoid Construction & Maturation
Reprogramming & Trans-differentiation
Pluripotency Maintenance (ESC/iPSC)
Cell Death
Cell Death
Apoptosis
Autophagy
Ferroptosis
Cuproptosis
Necroptosis
Pyroptosis
Disulfidptosis
Lysosome-dependent Cell Death
Epigenetics
Epigenetics
Histone Modification
DNA Methylation & Demethylation
DNA Methylation
DNA-Demethylation
Chromatin Remodeling Complexes
Epitranscriptome (m6A etc.)
Single-cell Epigenomics
Metabolic Reprogramming
Metabolic Reprogramming
Glucose Metabolism
Glutamine Metabolism
Lipid Metabolism
TCA Cycle & Oxidative Phosphorylation
One-carbon & Folate Cycle
Pentose Phosphate Pathway
Ketone Body Metabolism
Nucleotide Metabolism
Cell Signal Transduction
Cell Signal Transduction
PI3K/AKT/mTOR Axis
MAPK/ERK Cascade
JAK/STAT Pathway
NF-κB Inflammatory Signalling
Wnt/β-catenin Pathway
Notch Signalling
Hippo/YAP Pathway
TGF-β/Smad Family
Hypoxia Signalling
Organelle Markers
Organelle Markers
Organelle Markers
Golgi Apparatus
Mitochondria
Endoplasmic Reticulum
Autophagosome
Lysosome
Proteasome
Peroxisome
Endosome
Plasma Membrane
Cytoplasm
Cell Junctions
Cytoskeleton
Centrosome
Spindle Apparatus
Nuclear Envelope
Nucleolus
Exosomes
Exosomes
Microbiology & Infectious Disease
Microbiology & Infectious Disease
Virus-Host Interactions
Chikungunya Virus
Antiviral Innate Immunity
Services
Custom Protein Services
Mammalian Protein Expression Service
Bacterial Protein Customized Service
Cell-Free Protein Expression Service
Insect Protein Expression Service
Yeast Protein Expression Service
Custom Antibody Services
Custom Polyclonal Antibody Services
Custom Monoclonal Antibody Development
Rabbit Single B Cell Platform
Phage Display Platform
Small Molecule& PTM Antibody Development
Antibody Humanization & Engineering Services
Antibody Sequencing Services
Anti-idiotype Antibody Services
Custom ELISA Kits
Peptide Synthesis
Conjugated Antibody
Resources
Application
Antibody Applications
Alzheimer's Disease
Parkinson's Disease
Stem Cell Differentiation
Gliomas
Gastric cancer
Liver cancer
Blog
ELISA
Antibody
Labeling Kit
Recombinant Protein
Pathological Research
Frontier Technologies And News
Research Toolbox
Target Infomation
Protocols
FAQs
Reward for Publication
New Lab Program
Promotions
About Us
Distributors
Business Partnerships
About EnkiLife
Contact Us
Meet Lumi
Contact Us
Home
ELISA Kits
Human ELISA Kits
Mouse ELISA Kits
Rat ELISA Kits
Monkey ELISA Kits
Porcine ELISA Kits
Universal ELISA Kits
Canine ELISA Kits
Rabbit ELISA Kits
Bovine ELISA Kits
Guinea pig ELISA Kit
Products
Products
Protein
Antibody
Kits
Cell Biology
Research Areas
Neuroscience
Oncology
Immunology
Cardiovascular
Stem Cells
Developmental Biology
Epigenetics
Metabolism
Signal Transduction
Custom Protein Services
ELISA Reagents
Cell Detection Kits
Research Toolbox
Target Infomation
Protocols
FAQs
Secondary Antibody
Unconjugated
HRP Conjugated
Biotin Conjugated
Fluorescent Conjugated
Labeling Kits
HRP Labeling
Biotin Labeling
Fluorescent Labeling
Cell Media
Services
Custom ELISA Kits
Peptide Synthesis
Conjugated Antibody
Reward for Publication
About EnkiLife
Target Proteins
New Lab Program
Resources
Application
Antibody Applications
Alzheimer's Disease
Parkinson's Disease
Stem Cell Differentiation
Gliomas
Gastric cancer
Liver cancer
Blog
ELISA
Antibody
Labeling Kit
Recombinant Protein
Pathological Research
Frontier Technologies And News
Promotions
Custom Antibody Services
About Us
Distributors
Business Partnerships
Contact Us
Meet Lumi
English
Türkçe
日本語
Deutsch
Español
한국어
Products
Filters
Clear All
Category
Clear
×
Antibody
(0)
Virus Antibody
(0)
Fish-specific Antibody
(0)
Recombinant Monoclonal Antibody
(0)
Tag-specific Antibody
(0)
Rat Monoclonal Antibody
(0)
Mouse Monoclonal Antibody
(0)
Polyclonal Antibody
(0)
Secondary Antibody
(0)
Loading Control Antibody
(0)
Protein
(0)
Virus Proteins
(0)
Cytokines
(0)
Target Proteins
(0)
Kits
(1)
Protein Marker
(0)
Magnetic Bead Separation Products
(0)
Pathology Staining Kits
(1)
Food Safety Test Kits
(0)
ELISA Kits
(0)
TSA mIHC Kits
(0)
Western Blot Kits
(0)
ECL Kits
(0)
IHC Detection Reagents
(0)
Labeling Kits
(0)
ELISA Reagents
(0)
Metabolism Kits
(0)
Cell Biology
(0)
Cell Function Assay Kits
(0)
Cell Media
(0)
Ancillary Reagents
(0)
Differentiation Medium Kits
(0)
Exosome-Depleted Media
(0)
Transfection Reagents
(0)
Fluorescent Dye
(0)
Cell skeleton fluorescent dyes
(0)
Subcellular structure fluorescent dyes
(0)
Cell membrane fluorescent dyes
(0)
Nuclear fluorescent dyes
(0)
Applications
Clear
Masson
(1)
IHC
(0)
Oil Red O
(0)
Crystal Violet
(0)
Trypan Blue
(0)
Ponceau S
(0)
TTC
(0)
Alizarin Red S
(0)
TRAP
(0)
Nuclear Fast Red
(0)
PAS
(0)
Prussian Blue
(0)
Toluidine Blue
(0)
Myelin Staining
(0)
Wright-Giemsa
(0)
Picrosirius Red
(0)
AB-PAS
(0)
Von Kossa
(0)
Elastic Fiber
(0)
EVG
(0)
Papanicolaou Staining
(0)
Van Gieson
(0)
VG
(0)
Mallory
(0)
Phosphotungstic Acid-Hematoxylin
(0)
Mast Cell
(0)
Victoria Blue
(0)
Collagen Fiber
(0)
ISH
(0)
Neutralization
(0)
SPR
(0)
Iron Hematoxylin
(0)
Alcian Blue
(0)
IP
(0)
IF-P
(0)
CoIP
(0)
ChIP
(0)
FC
(0)
ELISA
(0)
Cell Culture
(0)
WB
(0)
IF
(0)
ICC/IF
(0)
LFIA
(0)
Cell Detection
(0)
Cell Metabolism Assays
(0)
77
(0)
IHC-P
(0)
mIHC
(0)
Nissl Staining
(0)
Cell Fluorescent Dye
(0)
Protein labeling
(0)
ICC
(0)
Dotblot
(0)
HE
(0)
Special Stains
(0)
Apoptosis
(0)
TUNEL
(0)
Quantitative
(0)
Competitive
(0)
Indirect
(0)
Qualitative
(0)
Safranin O-Fast Green
(0)
FCM
(0)
Reactive Species
Clear
Rabbit
(0)
Guinea pig
(0)
Virus
(0)
Human
(0)
Hamster
(0)
Goat
(0)
Dog
(0)
Other
(0)
Nematode
(0)
FruitFly
(0)
Rice
(0)
Speciesindependent
(0)
Cat
(0)
Porcine
(0)
Chicken
(0)
4445
(0)
Pig
(0)
Universal
(0)
Cynomolgus
(0)
Monkey
(0)
Rat
(0)
Mouse
(0)
Human
(0)
Fish
(0)
Canine
(0)
Bovine
(0)
biotin
(0)
Host Species
Clear
E.coli
(0)
CHO
(0)
Alpaca
(0)
Human
(0)
Universal
(0)
Human Cell
(0)
Rat
(0)
Baculovirus infected Sf9
(0)
HEK293
(0)
Mammalian cells
(0)
588
(0)
Mouse
(0)
Goat
(0)
Rabbit
(0)
Yeast
(0)
Insect cells
(0)
E. coli
(0)
Conjugation
Clear
Unconjugated
(0)
Fluor 532
(0)
Phospho
(0)
Cy3
(0)
Cyanine5.5
(0)
Fluorescein-X
(0)
Fluor 350
(0)
Fluor 405
(0)
Fluor 488
(0)
Fluor 555
(0)
Fluor 594
(0)
Fluor 647
(0)
Fluor 750
(0)
Fluor 568
(0)
Acetyl
(0)
Fluor 680
(0)
Fluor 430
(0)
Fluor 700
(0)
LC-Biotin
(0)
LC-LC-Biotin
(0)
SS-Biotin
(0)
PEG4-Biotin
(0)
TSA
(0)
Fluorescein 647
(0)
Fluorescein 488
(0)
Fluorescein 640
(0)
Fluorescein 555
(0)
Methyl
(0)
Fluor594
(0)
Biotin
(0)
Sulfo-NHS-LC-LC-Biotin
(0)
HRP
(0)
FITC
(0)
55
(0)
Phospho Antibody
(0)
Fluor647
(0)
Fluor680
(0)
Fluor700
(0)
Fluor750
(0)
NHS-PEG4-Biotin
(0)
Cyanine2
(0)
Cyanine3
(0)
Cyanine5
(0)
Sulfo-NHS-LC-Biotin
(0)
Fluor568
(0)
Sulfo-NHS-SS-Biotin
(0)
Cyanine7
(0)
Sulfo-NHS-Biotin
(0)
APC
(0)
PerCP
(0)
R-PE
(0)
Fluor350
(0)
Fluor405
(0)
Fluor430
(0)
Fluor488
(0)
Fluor532
(0)
Fluor555
(0)
Fluorescein 594
(0)
Research Areas
Clear
Pathology
(1)
Cancer
(0)
p53 Pathway
(0)
Nucleolus
(0)
Chromatin Binding Proteins
(0)
DNA / RNA binding
(0)
Organism
(0)
Virus
(0)
RNA Virus
(0)
ssRNA positive strand virus
(0)
SARS Coronavirus
(0)
Cytokines
(0)
Interferons
(0)
Glycosylphosphatidylinositol(GPI)-anchor biosynthesis
(0)
More Neuropeptides
(0)
Redox metabolism
(0)
Mast Cells
(0)
Amyloid
(0)
Diabetes associated
(0)
Blood Cell Antigens
(0)
RBC Antigens
(0)
Blood Group Antigens
(0)
Fertilisation
(0)
One carbon pool by folate
(0)
GTP
(0)
Cytoskeleton
(0)
Membrane Proteins
(0)
Caffeine metabolism
(0)
Actin etc
(0)
GABA Receptors
(0)
ECM Proteins
(0)
Cardiovascular Angiogenesis
(0)
Mediator Complex
(0)
Osteogenesis
(0)
SCF Complex E3 Ligase
(0)
Vitamin B6 metabolism
(0)
Epi / Endo-thelial
(0)
Keratan sulfate biosynthesis
(0)
Obesity
(0)
Receptors /
(0)
Ligand-Gated Ion Channels
(0)
Allergens
(0)
Sulfur metabolism
(0)
Enzymes
(0)
Ets
(0)
Other ECM Proteins
(0)
Intracellular Signaling
(0)
Adaptive Immunity
(0)
T Cells
(0)
CD
(0)
B Cells
(0)
Hematopoietic Progenitors
(0)
Lymphoid
(0)
NK Cell Lineage
(0)
Microfilaments
(0)
Actin Assembly
(0)
Munc18
(0)
HMGs
(0)
Cdks
(0)
Intracellular Molecules
(0)
Hemangioblast
(0)
Hematopoietic system development
(0)
Signaling Pathways
(0)
Cardiovascular/Immune
(0)
Hypoxia
(0)
Prolyl hydroxylase
(0)
Nuclear
(0)
Histones
(0)
Signal
(0)
Cyclin B Family
(0)
Chromatin Remodeling
(0)
Polycomb Silencing
(0)
PRC2
(0)
Heterotrimeric G Proteins
(0)
Translation Ribosome
(0)
Homologous Recomb
(0)
leucine and isoleucine biosynthesis
(0)
Coactivators and repressors
(0)
Growth and Development
(0)
Neurotrophins
(0)
Glia marker
(0)
SMADs
(0)
Cyclins
(0)
Methylation
(0)
Acetylation
(0)
Lysine methylation
(0)
Ubiquitin ligases
(0)
Actin Binding Proteins
(0)
Ser / Thr Phosphatases
(0)
Scaffold Proteins
(0)
Mitochondrial Biogenesis
(0)
HOX
(0)
Myeloid
(0)
Myeloid Progenitor
(0)
RNA Processing Splicing
(0)
Insulin / Insulin-like
(0)
HAT
(0)
MAP
(0)
Krueppel like factor
(0)
HDACs
(0)
Class II / Hda1 Class
(0)
Non-CDE
(0)
pigenetics and Nuclear Signaling
(0)
Topoisomerases
(0)
Drug resistance
(0)
Nuclear Import / Export
(0)
Ub-like Proteins
(0)
Microtubules
(0)
MT Associated Proteins
(0)
Cell Adhesion Proteins
(0)
Complex IV
(0)
Muscle
(0)
Kinases/Phosphatases
(0)
Retanoic and retanoid
(0)
Neural Signal Transduction
(0)
Chaperones
(0)
Other Chaperones
(0)
Adapters
(0)
Cytoplasmic
(0)
NFkB Pathway
(0)
Inflammatory mediators
(0)
Glycosphingolipid biosynthesis
(0)
Channels
(0)
Chromatin assembly
(0)
Nitrogen metabolism
(0)
HLH
(0)
RNA degradation
(0)
WNT-T CELLNotch
(0)
Aminoacyl-tRNA biosynthesis
(0)
Ubiquitin & Ubiquitin Like Modifiers
(0)
E3 Ubiquitin Ligases
(0)
Excretory system development
(0)
Kidney development
(0)
Neural Stem Cell marker
(0)
Other Cell Types
(0)
Structures
(0)
Retinoic & Retinoid
(0)
Hormone biosynthesis
(0)
Helix-Turn-Helix
(0)
Cyanoamino acid metabolism
(0)
Rabs
(0)
Cell Type Marker
(0)
Neuron marker
(0)
Synapse marker
(0)
Interspecies Interaction
(0)
Host Virus Interaction
(0)
Immune System Diseases
(0)
Antiviral Signaling
(0)
Granins
(0)
Retinol metabolism
(0)
Selenoamino acid metabolism
(0)
Other Kinases
(0)
Endocrine metabolism
(0)
Nuclear Signaling Pathways
(0)
Nuclear Receptors
(0)
Corticoid
(0)
Development
(0)
Translesion Synthesis
(0)
RING Finger E3 Ligase
(0)
Kallikreins
(0)
Cancer Stem Cells
(0)
Receptors / Channels
(0)
GPCR
(0)
More GPCR
(0)
Desmosomes
(0)
Sumo
(0)
Annexins
(0)
DNA Damage Response
(0)
Integration of energy
(0)
Soma marker
(0)
Neuroregeneration
(0)
ER Proteins
(0)
Golgi Proteins
(0)
Transporters
(0)
Other Transporters
(0)
Nervous system development
(0)
Phenylalanine
(0)
tyrosine and tryptophan biosynthesis
(0)
Peroxisome
(0)
Integration of energy metabolism
(0)
Organelle Proteins
(0)
Immune Interventions
(0)
Transplantation
(0)
Serine protease inhibitors
(0)
SERPINs
(0)
WNT-T CELLVEGF
(0)
Blood
(0)
Blood Pressure regulation
(0)
Heart
(0)
Hypertrophy
(0)
Cell Adhesion
(0)
Energy transfer pathways
(0)
cAMP
(0)
Ubiquitin like Modifiers
(0)
OCT
(0)
Co-activators/co-repressors
(0)
Cell Cycle Cell Cycle Inhibitors
(0)
Chromatin Modifying Enzymes
(0)
Ubiquitylation
(0)
Deubiquitination
(0)
Transmembrane
(0)
Apoptosis Markers
(0)
NFkB
(0)
p5
(0)
Innate Immunity
(0)
Macrophage / Inflamm
(0)
Maturity onset diabetes of the young
(0)
Nucleotide Messenger
(0)
Carbohydrate metabolism
(0)
ChannelsMetabolism Pathways and Processes Metabolic signaling pathways Amino acid metabolism
(0)
Caspases etc
(0)
Inhibitors
(0)
Other cell division antibodies
(0)
Calcium Binding Proteins
(0)
Cytokinesis
(0)
Granzymes
(0)
MMP Inhibitors
(0)
PKA
(0)
Second Messenger
(0)
Oligodendrocyte marker
(0)
Morphogens
(0)
Axis formation and symmetry
(0)
Hematopoietic Stem Cells
(0)
Defensin
(0)
Chromatid Cohesion
(0)
RNA Processing RNAi
(0)
Dicer
(0)
Intermediate Filaments
(0)
Class V
(0)
Lamins
(0)
Basal Lamina
(0)
Calcium Channels
(0)
Non-lineage
(0)
HSC markers
(0)
Protein
(0)
Serum Proteins
(0)
Cancer: Tumor biomarkers
(0)
Developmental
(0)
Biology
(0)
Gut development
(0)
Liver development
(0)
Cardiovascular ELISA kits
(0)
Growth and Development Axonal Guidance Proteins
(0)
Intrinsic
(0)
Fusion / Marker Proteins
(0)
Luciferase
(0)
Human Protein
(0)
Lipid transport
(0)
Synuclein
(0)
BRCT Domain Proteins
(0)
Thyroid axis
(0)
Folate biosynthesis
(0)
Biogenic Amines
(0)
Dopamine
(0)
STATs
(0)
Other factorsS
(0)
tem Cells
(0)
Wnt Nuclear
(0)
Adrenergic Receptors
(0)
Orphan Nuclear Receptors
(0)
Neurotransmission Receptors / Channels
(0)
Glucosaminoglycans
(0)
Hypoxia-Regulated
(0)
RNA
(0)
RNA / Nucleotides
(0)
Trophectoderm
(0)
Post embryonic development
(0)
Aging
(0)
Mitophagy fission and fusion
(0)
Lipases
(0)
Bromodomain containing
(0)
Phosphatases
(0)
WNT-T CELLGap junction
(0)
Notch Nuclear
(0)
firefly luciferase
(0)
ACEs
(0)
Metabolism of carbohydrates
(0)
Alcohol metabolism
(0)
Adipogenesis
(0)
Metabolism Lipid metabolism
(0)
Complement
(0)
Classical Pathway
(0)
Epigenetics and Nuclear
(0)
DNA / RNA DNA
(0)
Damage & Repair
(0)
Direct Chemical Reversal
(0)
Myeloid Cells
(0)
MAC
(0)
CD markers ELISA kits
(0)
CD markers
(0)
Endothelial Cells
(0)
Beta Chemokine Rec. (CCR)
(0)
Complex V
(0)
Cathepsins
(0)
NK Cells
(0)
CARD Family
(0)
Bcl2 Family
(0)
MHC
(0)
Class II
(0)
APC
(0)
WNT-T CELLPathways in cancer
(0)
Acrp
(0)
Tumor
(0)
Acetylcholine
(0)
Lymphoid B
(0)
Metabolism Drug
(0)
Immunoglobulins
(0)
Serotonin Receptors
(0)
Cysteine protease
(0)
Calpains
(0)
Fibrinolysis
(0)
Nucleotide metabolism
(0)
Angiogenesis Growth Factors
(0)
Cytotoxic Cells
(0)
Phagocytosis
(0)
Human Lineage Negative
(0)
Lymphocytic Lineage
(0)
TNF Superfamily
(0)
T Lymphocytic Lineage
(0)
Dendritic Cell Lineage
(0)
Monocytic Lineage
(0)
Neutrophil Lineage
(0)
Erythrocytic Lineage
(0)
Cellular metabolic process
(0)
Structures Bone
(0)
beta Secreted
(0)
Cardiac metabolism
(0)
Developmental Biolog
(0)
y Organogenesis
(0)
Tubulin
(0)
Arterial
(0)
Pol III Transcription
(0)
Fatty Acids
(0)
Chemokines
(0)
Beta Chemokines (CC)
(0)
Kits/ Lysates/ Other
(0)
Kits
(0)
ELISA Kits
(0)
Cytokines and cytokine receptors ELISA kits
(0)
PKC
(0)
Heat Shock Proteins
(0)
Potassium Channels
(0)
Lipids / Lipoproteins
(0)
Response to hypoxia
(0)
Calpain
(0)
Metabolism processes
(0)
Diabetes
(0)
Heart disease
(0)
Fatty acid oxidation
(0)
Opioid Receptors
(0)
Other glycan degradation
(0)
Hydrolysis
(0)
Lipid Signaling
(0)
Lipid Phosphatases
(0)
DNA Polymerases
(0)
tRNAs
(0)
PKB / AKT
(0)
Actin Crosslinking
(0)
APG gene products
(0)
Nuclear Pore Complex
(0)
TGF
(0)
Notch Pathway
(0)
Signaling Pathway G
(0)
Protein Signaling
(0)
HIV-related
(0)
Phosphorylation
(0)
Endosome
(0)
Cardiogenesis
(0)
Cardiomyocyte precursors
(0)
Myocardial regeneration
(0)
Caspases
(0)
Centromeres
(0)
Focal Adhesions
(0)
Nuclear Pore
(0)
POU
(0)
Developmental Families PAX
(0)
Fibrinolysis / Thrombolysis
(0)
Coagulation
(0)
Regulatory
(0)
Other protease inhibitors
(0)
CCN Family
(0)
Secreted
(0)
Hypertension
(0)
Vasoconstriction
(0)
Non-CD
(0)
Autophagy and mitophagy
(0)
Vasculature Markers
(0)
Transcription factors/regulators
(0)
Adipose Related
(0)
Lipid Droplet Protein
(0)
Ubiquinone and other terpenoid-quinone biosynthesis
(0)
Steroid biosynthesis
(0)
Acute Phase Reactants
(0)
Lipoproteins/Apolipoproteins
(0)
Lipoprotein metabolism
(0)
Apolipoproteins
(0)
Axon marker
(0)
Autoimmune
(0)
Other Nuclear Bodies
(0)
DNA Damage Recognition
(0)
Endothelial Cell Markers
(0)
Angiogenic inhibitory factors
(0)
Complex I
(0)
Lipoproteins
(0)
Binding proteins
(0)
Metabolism Pathways and Processes
(0)
Metabolic disorders
(0)
Cohesins
(0)
Nuclear Envelope
(0)
Neuroscience Markers
(0)
Neuronal
(0)
Cytoskeletal Proteins
(0)
Sodium Channels
(0)
Endothelial
(0)
Ephrins
(0)
Serine/threonine kinases
(0)
Eph Receptors
(0)
Kinases
(0)
Growth Cone
(0)
Axonal Guidance Proteins
(0)
Tyrosine Kinase Receptors
(0)
RECK
(0)
Cholesterol Metabolism
(0)
Other proteases
(0)
O-Glycan biosynthesis
(0)
Cadherins
(0)
MARK
(0)
Fatty acid elongation in mitochondria
(0)
Cell Adhesion Molecules
(0)
Hypothalamic pituitary adrenal axis
(0)
Ischemia / Reperfusion
(0)
Centromere
(0)
ER
(0)
Variants
(0)
Centrosome
(0)
Actin
(0)
Interleukin
(0)
TLR Signaling
(0)
Testosterone
(0)
Elongation factors
(0)
Secretory Vesicles
(0)
aspartate and glutamate metabolism
(0)
Taurine and hypotaurine metabolism
(0)
Fc epsilon RI
(0)
Stem cell pathway
(0)
PI3K/Akt
(0)
Arginine and proline metabolism
(0)
Calcium
(0)
PPAR
(0)
mTOR
(0)
Insulin_Receptor
(0)
Aldosterone-regulated sodium reabsorption
(0)
Inositol phosphate metabolism
(0)
Phosphatidylinositol signaling system
(0)
Type II diabetes mellitus
(0)
Tyrosine metabolism
(0)
Acute myeloid leukemia
(0)
Glycolysis / Gluconeogenesis
(0)
Purine metabolism
(0)
Pyruvate metabolism
(0)
WNT
(0)
WNT-T CELLTGF-beta
(0)
Ubiquitin mediated proteolysis
(0)
Regulation_Microtubule
(0)
SAPK_JNK
(0)
Ribosome
(0)
Regulates Angiogenesis
(0)
Phenylalanine metabolism
(0)
Jak_STAT
(0)
Insulin Receptor
(0)
B_Cell_Antigen
(0)
Hedgehog
(0)
TGF-beta
(0)
Basal cell carcinoma
(0)
Cytosolic DNA-sensing pathway
(0)
Amyotrophic lateral sclerosis (ALS)
(0)
p53
(0)
Progesterone-mediated oocyte maturation
(0)
Tight junction
(0)
T_Cell_Receptor
(0)
Chronic myeloid leukemia
(0)
Small cell lung cancer
(0)
Colorectal cancer
(0)
Long-term depression
(0)
Dorso-ventral axis formation
(0)
Notch
(0)
Parkinson's disease
(0)
Viral myocarditis
(0)
Fc gamma R-mediated phagocytosis
(0)
Renal cell carcinoma
(0)
Axon guidance
(0)
VEGF
(0)
Leukocyte transendothelial migration
(0)
Adipocytokine
(0)
Adherens_Junction
(0)
Regulation of Actin Dynamics
(0)
Cell Growth
(0)
Alzheimer's disease
(0)
Melanogenesis
(0)
ECM Enzymes
(0)
TIMP1 / TIMP2
(0)
Invasion/microenvironment
(0)
TIMPs
(0)
Proteolysis / Ubiquitin
(0)
Protease inhibitors
(0)
Metalloprotease inhibitors
(0)
Cardiac muscle contraction
(0)
WNT-T CELLLong-term potentiation
(0)
Olfactory transduction
(0)
Vascular smooth muscle contraction
(0)
Cytoskeleton / ECM
(0)
Long-term potentiation
(0)
WNT-T CELLHedgehog
(0)
Arachidonic acid metabolism
(0)
ABC transporters
(0)
Lysosome
(0)
Primary immunodeficiency
(0)
Transcription
(0)
Domain Families
(0)
Zinc Finger
(0)
Signaling Pathway
(0)
Nuclear Signaling
(0)
Extracellular Matrix
(0)
TIMP
(0)
WNT-T CELLFocal adhesion
(0)
Thyroid cancer
(0)
GnRH
(0)
ErbB/HER
(0)
AMPK
(0)
Antigen processing and presentation
(0)
WNT-T CELL
(0)
β-Catenin
(0)
ECM-receptor interaction
(0)
Arrhythmogenic right ventricular cardiomyopathy (ARVC)
(0)
Neuroactive ligand-receptor interaction
(0)
Steroid hormone biosynthesis
(0)
Androgen and estrogen metabolism
(0)
B Cell Receptor
(0)
Matrix Metalloproteinases
(0)
Intestinal immune network for IgA production
(0)
Asthma
(0)
Systemic lupus erythematosus
(0)
Prion diseases
(0)
Hypertrophic cardiomyopathy (HCM)
(0)
Dilated cardiomyopathy
(0)
Complement and coagulation cascades
(0)
Thrombosis
(0)
Endothelial mediators/regulators
(0)
Angiogenesis
(0)
Adhesion / ECM
(0)
Oocyte meiosis
(0)
Graft-versus-host disease
(0)
Vitamin D Receptor
(0)
tunel
(0)
Metabolic Diseases;Glycolysis and Lipid Metabolism
(0)
Mitochondria Function
(0)
Tricarboxylic Acid(TCA)Cycle
(0)
Cuproptosis
(0)
Energy Metabolism
(0)
Metabolic Diseases
(0)
Disulfidptosis
(0)
Inorganic ions
(0)
5555
(0)
Biochemicals
(0)
Epigenetics and Nuclear Signal
(0)
Liver and Renal Function
(0)
Development Biology
(0)
Apoptosis
(0)
TGF-beta signaling pathway
(0)
PI3K-Akt signaling pathway
(0)
MAPK signaling pathway
(0)
Jak-STAT signaling pathway
(0)
Autophagy
(0)
Wnt signaling pathway
(0)
Hippo signaling pathway
(0)
Notch signaling pathway
(0)
mTOR signaling pathway
(0)
Liver and Renal Function;Amino Acids and Proteins
(0)
#N/A
(0)
Food safety
(0)
Infectious Diseases
(0)
Neuroscience
(0)
Signaling Transduction
(0)
Cell Biology
(0)
Epigenetics and Nuclear Signaling
(0)
Microbiology
(0)
Developmental Biology
(0)
Immunology
(0)
Metabolism
(0)
Stem Cells
(0)
Tags and Cell Markers
(0)
Endocrine
(0)
Signal Transduction
(0)
Glycolysis and Lipid Metabolism;Plant Physiology Series
(0)
Tags & Cell Markers
(0)
Endocrine & Metabolism
(0)
-
(0)
Tumor Associated
(0)
Glycolysis and Lipid Metabolism
(0)
Amino Acids and Proteins
(0)
Oxidative stress
(0)
Ferroptosis
(0)
other
(0)
Amino Acids and Proteins;Plant Physiology Series
(0)
Plant Physiology Series
(0)
Flow Cytometry
(0)
Antibiotic
(0)
Allograft rejection
(0)
Pancreatic cancer
(0)
Cell adhesion molecules (CAMs)
(0)
Hematopoietic cell lineage
(0)
Base excision repair
(0)
Huntington's disease
(0)
MAPK_ERK_Growth
(0)
MAPK_G_Protein
(0)
ErbB_HER
(0)
Endocytosis
(0)
Focal adhesion
(0)
Gap junction
(0)
Regulates Actin and Cytoskeleton
(0)
Endometrial cancer
(0)
Cell_Cycle_G1S
(0)
Glioma
(0)
Prostate cancer
(0)
Melanoma
(0)
Non-small cell lung cancer
(0)
Apoptosis_Inhibition
(0)
Apoptosis_Mitochondrial
(0)
Apoptosis_Overview
(0)
Natural killer cell mediated cytotoxicity
(0)
Neurotrophin
(0)
Type I diabetes mellitus
(0)
Autoimmune thyroid disease
(0)
Cell_Cycle_G2M_DNA
(0)
DNA replication
(0)
Hormones and anabolics
(0)
Zearalenone
(0)
Other veterinary drugs
(0)
Aflatoxins
(0)
DON (Vomitoxin)
(0)
Fumonisins
(0)
Chemical contaminants
(0)
Ochratoxin A
(0)
Staphylococcal enterotoxins (SET)
(0)
T-2/HT-2 Toxin
(0)
Vitamin B12
(0)
Vitamin B9
(0)
Vitamin B7
(0)
Fumonisins
(0)
Protein_Acetylation
(0)
Chondroitin sulfate biosynthesis
(0)
Cytokine-cytokine receptor interaction
(0)
Chemokine
(0)
Toll_Like
(0)
NOD-like receptor
(0)
RIG-I-like receptor
(0)
Epithelial cell signaling in Helicobacter pylori infection
(0)
Pathways in cancer
(0)
Bladder cancer
(0)
Cysteine and methionine metabolism
(0)
Pathogenic Escherichia coli infection
(0)
Nuclear Hormone Receptors
(0)
WNT-T CELLNeurotrophin
(0)
Cardiovascular
(0)
Subcellular Markers
(0)
Fatty acid biosynthesis
(0)
Akt_PKB
(0)
MAPK
(0)
Citrate cycle (TCA cycle)
(0)
Glyoxylate and dicarboxylate metabolism
(0)
Vibrio cholerae infection
(0)
DNA Damage & Repair
(0)
G protein signaling
(0)
Small G proteins
(0)
Ras family
(0)
Organelles
(0)
Vitamins / minerals
(0)
Golgi
(0)
Cell Type Markers
(0)
Cancer susceptibility
(0)
Proto-oncogenes
(0)
Homologous recombination
(0)
Glycine
(0)
serine and threonine metabolism
(0)
WNT-T CELLAxon guidance
(0)
Calcium Signaling
(0)
Calmodulin Pathway
(0)
Regulators
(0)
Types of disease
(0)
Cofactors
(0)
Pol I Transcription
(0)
Tumor antigens
(0)
beta-Alanine metabolism
(0)
Propanoate metabolism
(0)
Butanoate metabolism
(0)
Limonene and pinene degradation
(0)
Other Antibodies
(0)
Ser / Thr Kinases
(0)
MAPK Pathway
(0)
Tumor suppressors
(0)
Primary bile acid biosynthesis
(0)
Tumor immunology
(0)
Tumor-associated antigens
(0)
WNT-T CELLMelanogenesis
(0)
Lipid metabolism
(0)
Regulation of Microtubule Dynamics
(0)
Taste transduction
(0)
Co-factors
(0)
NF_kappaB
(0)
Oxidative phosphorylation
(0)
Other factors
(0)
Cancer Metabolism
(0)
Metabolic signaling pathway
(0)
Metabolism of lipids and lipoproteins
(0)
Metabolic signaling pathways
(0)
Lipid and lipoprotein metabolism
(0)
Polymerase associated factors
(0)
Synthesis and degradation of ketone bodies
(0)
Valine
(0)
Mitochondrial
(0)
Diseases
(0)
RNA polymerase
(0)
Associated Proteins
(0)
Nucleus
(0)
Regulation of autophagy
(0)
RNA Processing
(0)
Splicing
(0)
Transcription Factors
(0)
Mitochondria
(0)
Amino Acids
(0)
Amino acid metabolism
(0)
Metalloprotease
(0)
Cell Cycle Inhibitors
(0)
Plasma Membrane
(0)
ATPases
(0)
HLH / Leucine Zipper
(0)
Leucine Zipper
(0)
SNARE interactions in vesicular transport
(0)
Coat Proteins
(0)
Pol II Transcription
(0)
WNT-T CELLRegulates Actin and Cytoskeleton
(0)
Biosynthesis of unsaturated fatty acids
(0)
Alanine
(0)
ADAMs
(0)
ADAM Protein Family
(0)
Terpenoid backbone biosynthesis
(0)
Sensory System
(0)
Proteasome
(0)
WNT-T CELLAdherens_Junction
(0)
Ubiquitin
(0)
Proteasome / Ubiquitin
(0)
Ubiquitin E3 Enzymes
(0)
Other E3 Ligases
(0)
Protein Trafficking
(0)
Vesicle Transport
(0)
Metabolism of xenobiotics by cytochrome P45
(0)
Amino sugar and nucleotide sugar metabolism
(0)
Calmodulin / CaMK
(0)
Visual system
(0)
Receptor Processing
(0)
Neurotransmission
(0)
Circadian rhythm
(0)
Markers
(0)
Cell Division
(0)
Spindle
(0)
Basal transcription factors
(0)
Cell Differentiation
(0)
Neurodegenerative disease
(0)
Proteolytic enzymes
(0)
Serine protease
(0)
TMPRSS
(0)
leucine and isoleucine degradation
(0)
Fatty acid metabolism
(0)
Tryptophan metabolism
(0)
Chromosome Structure
(0)
Glutathione metabolism
(0)
Neurotransmitter
(0)
Neuropeptides
(0)
Hormones
(0)
Neuroendocrinology
(0)
GH Regulation
(0)
Endoderm
(0)
Estrogen
(0)
Renin-angiotensin system
(0)
Drug metabolism
(0)
Telomeres
(0)
Pyrimidine metabolism
(0)
DNA / RNA
(0)
DNA Synthesis
(0)
Embryonic Stem Cells
(0)
Tumor biomarkers
(0)
Embryogenesis
(0)
Surface molecules
(0)
PAX
(0)
Atherosclerosis
(0)
Vascular Inflammation
(0)
Innate and adaptive immunity
(0)
Vasculature
(0)
Pentose phosphate pathway
(0)
Nucleotide excision repair
(0)
Processes
(0)
Mesenchymal Stem Cells
(0)
Methane metabolism
(0)
Non-homologous end-joining
(0)
Histidine metabolism
(0)
HMG Box
(0)
Neurology process
(0)
Neurogenesis
(0)
Developmental Families
(0)
Lineage Markers
(0)
Ectoderm
(0)
Neural Stem Cells
(0)
Intracellular
(0)
Chondrogenesis
(0)
Pantothenate and CoA biosynthesis
(0)
Neural Crest Stem Cells
(0)
Reproduction
(0)
Sex determination
(0)
Placental development
(0)
Lineage specification
(0)
Organogenesis
(0)
Skeletal development
(0)
Bone
(0)
Starch and sucrose metabolism
(0)
Riboflavin metabolism
(0)
Nicotinate and nicotinamide metabolism
(0)
Endothelium
(0)
Angiogenic Factors
(0)
Ascorbate and aldarate metabolism
(0)
Pentose and glucuronate interconversions
(0)
Receptor Tyrosine Kinases
(0)
Mesoderm
(0)
Oncoproteins/suppressors
(0)
Oncoproteins
(0)
Growth factor receptors
(0)
Endothelial Progenitors
(0)
Endothelial Markers
(0)
Growth Factors/Hormones
(0)
Endocrine system
(0)
Gonadotrophic axis
(0)
General neuroendocrinology
(0)
Galactose metabolism
(0)
Protein Phosphorylation
(0)
Glycerolipid metabolism
(0)
Translation
(0)
Regulation
(0)
Germline Stem Cells
(0)
Embryonic Germ Cells
(0)
Germ cell markers
(0)
Heparan sulfate biosynthesis
(0)
Glycosaminoglycan degradation
(0)
Porphyrin and chlorophyll metabolism
(0)
Lysine biosynthesis
(0)
Lysine degradation
(0)
Tyrosine Kinases
(0)
Sphingolipid metabolism
(0)
Secreted Molecules
(0)
N-Glycan biosynthesis
(0)
Other secreted molecules
(0)
Angiogenic growth factors
(0)
Spliceosome
(0)
Extracellular Signals
(0)
Death Ligands
(0)
Growth factors
(0)
TNF
(0)
Antibodies
(0)
New products Recombinant
(0)
Mismatch repair
(0)
Fructose and mannose metabolism
(0)
Glycerophospholipid metabolism
(0)
Cell Cycle
(0)
Ether lipid metabolism
(0)
Linoleic acid metabolism
(0)
alpha-Linolenic acid metabolism
(0)
FADD
(0)
Cell Death
(0)
Receptors
(0)
Death receptors & ligands
(0)
TRADD
(0)
Pathways and Processes
(0)
Mitochondrial Metabolism
(0)
Mitochondrial markers
(0)
Microbiology&Infectious Disease
(0)
Promotions
Clear
Rabbit Monoclonal Antibody
(0)
Category
Kits
1
Pathology Staining Kits
1
RA20094
has 1 results in Products. Sort by:
Best Match
Stars
Prev
1
Next
Total 1 page
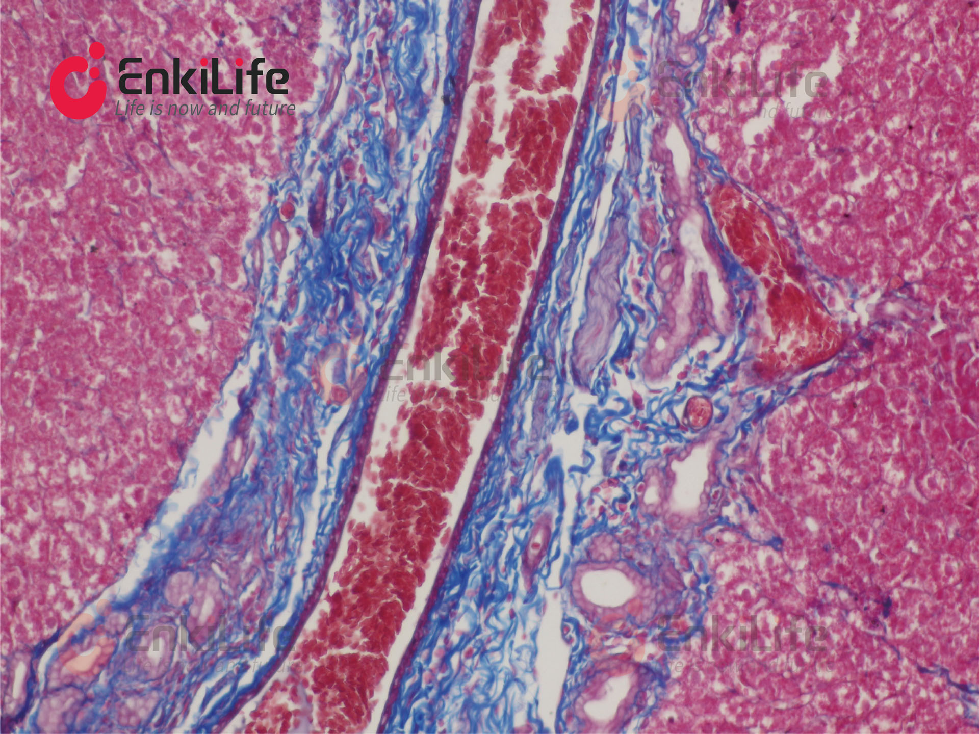
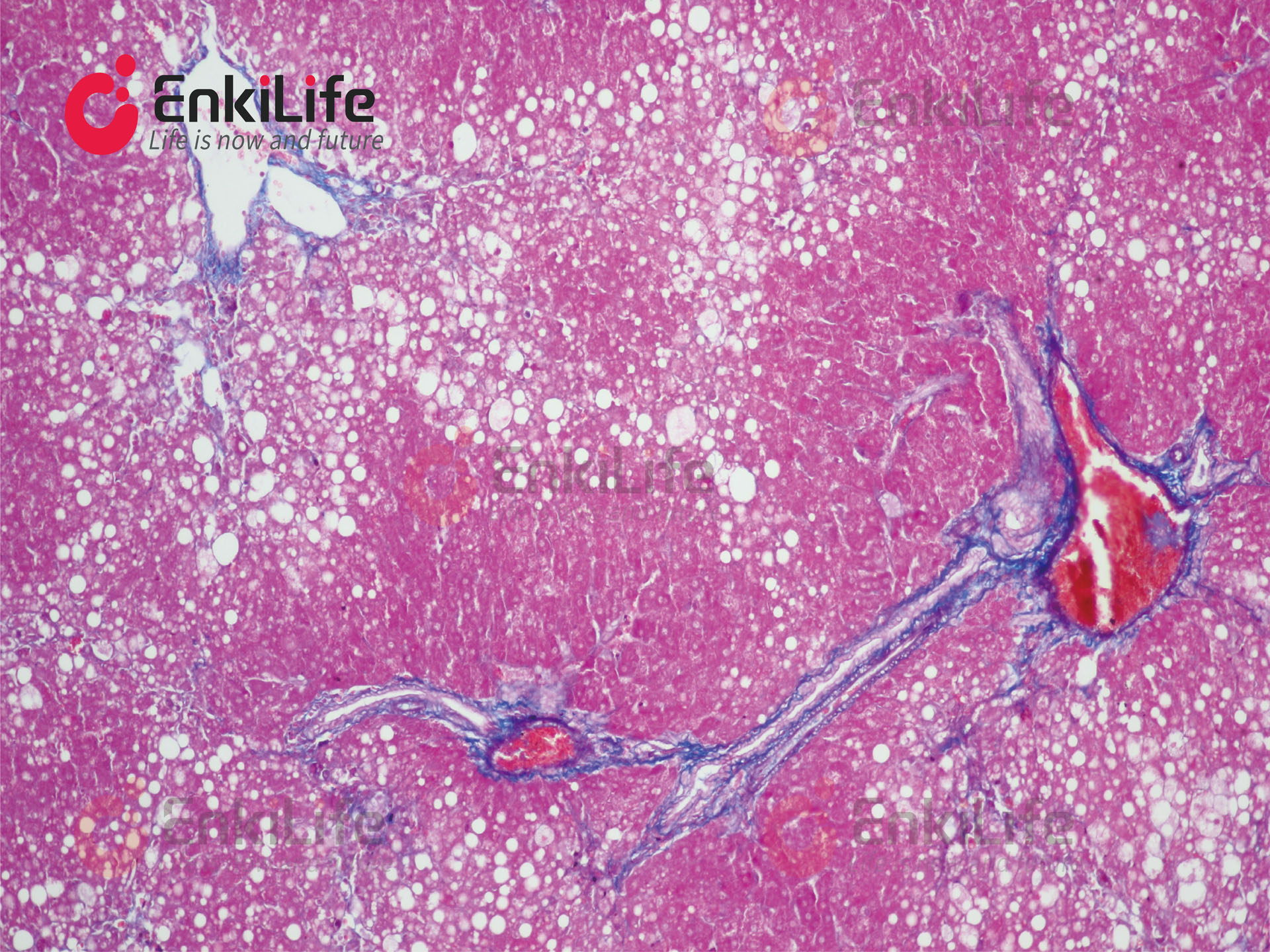
Masson Trichrome Staining Kit
Cat: RA20094
Size1: 50mL Price1:$64
Size2: 100mL Price2:$98
Datasheet
Copy product information
First
Prev
1
Next
Last
Total 1 page
Chat with us
, powered by
LiveChat
💬
WhatsApp